心臟的功能,最主要在於推動體內血液的循環,除了可以把養分與氧氣帶到全身上下各個器官及組織以外,也可以協助進行代謝廢物的移除。它是一個極為精密靈巧的器官,由心內膜、心肌及心外膜構成整個心臟的實體,進而分成四個腔室,左右腔室間有心臟中膈做分界、上下腔室間則有瓣膜控制血液流動,這些構造各司其職,得以維持住動物體的生命。當其中一個構造出現問題,就會對生命造成極大威脅。因此,在疾病發展的初期能夠及時進行檢查,並且給予適當的治療,才能將心臟疾病對動物體造成的傷害減到最低,並維持住動物良好的生活品質。
疾病簡介
心臟疾病可以分為先天性跟後天性,先天性的心臟疾病在臨床上所佔的比例不高,絕大多數仍然以後天性的心臟疾病為主。造成心臟疾病的病因有許多,除了先天性的異常之外,其他像是感染、內分泌、中毒、代謝性疾病以及老年退化皆會造成心臟功能缺損。其中,又以老年退化造成的心臟疾病在臨床上最為常見。在狗,最常見的後天性心臟病以慢性瓣膜疾病為主,約占了75-80%,而貓則以肥厚性心肌病為大宗。
- 慢性瓣膜性疾病
瓣膜是分隔心房與心室之間的片狀組織,可以打開讓血液通過,也可以關閉阻擋血流。當隨著年紀漸增,瓣膜會逐漸退化,其邊緣會逐漸增厚以及捲曲使得閉合的功能受到影響,即為所謂「瓣膜閉鎖不全」。在正常情況下,血流必須先從心房進入心室,待瓣膜閉合之後再將血液送至全身其他器官或是肺部,但若是產生了瓣膜的閉鎖不全,血液就會在準備送出時產生逆流,送到各器官的血流變少,於是無法維持正常時期所需的氧氣含量跟營養,另外,逆流會造成血液鬱積在心臟內,進而影響到肺部的功能,同時,過多的液體堆積在左心內會導致左心室產生重塑(Remodeling),造成心肌細胞流失、心室壁與腔室的肥大,最後會引起鬱血性心臟衰竭而死亡。
慢性瓣膜性疾病多發生在中老年的中小型犬,從中年開始,發生率會隨著年齡增長逐漸提升。而好發的犬種包括瑪爾濟斯、吉娃娃、貴賓等。

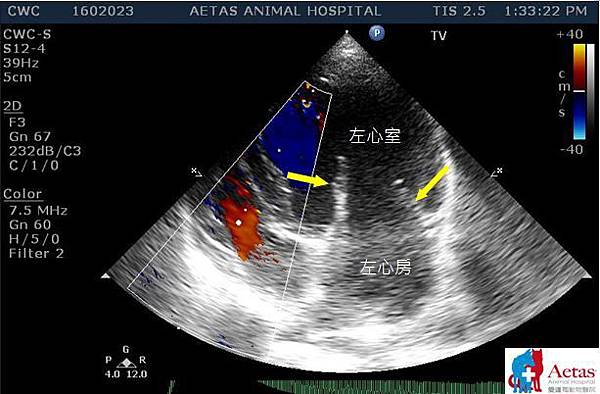
此圖為有慢性瓣膜性疾病的犬隻的心臟超音波示意圖,圖中白色字體標示出左心房跟左心室的位置。黃色箭頭則標示出左心的兩片瓣膜,可以看到因為老化的原因造成的瓣膜增厚及扭曲,進而使得左心室跟左心房的腔室擴大。
- 肥厚性心肌病
心肌被心內膜以及心外膜包裹住,是一層特化的肌肉組織,它可以有效地收縮來幫助心臟將血液送出,而因為左心室必須要將血液送到全身,右心室只需將血液送到肺部,因此左心室的心肌厚於右心室。
肥厚性心肌病是由於心肌因為心肌纖維的異常產生不正常的肥厚,是一種原發性的疾病,在貓約有58-68%的心臟疾病為此項。在人,有66%的肥厚性心肌病跟基因遺傳有關係,剩餘的比例為後天性自發的基因突變。在貓,好發的品種為緬因貓、布偶貓、美國短毛貓、英國短毛貓及摺耳貓等。
當左心室肌肉開始肥厚的時候,其舒張功能就會受到影響,無法正常的擴張,其血液填充時的壓力就會增大,這個壓力會往回影響到左心房,進而造成左心房的擴張,最後形成鬱血性左心衰竭。另外,在貓咪肥厚性心肌病常見的併發症就是血栓的形成,由於左心室心肌的肥大跟左心房的擴張,導致其血流流速減慢,血液的停滯加上血小板的作用就會形成血栓,若是血栓隨著血流跑到身體其他地方,可能會看到貓咪出現後肢癱瘓及僵硬的症狀,甚至有時會造成猝死。

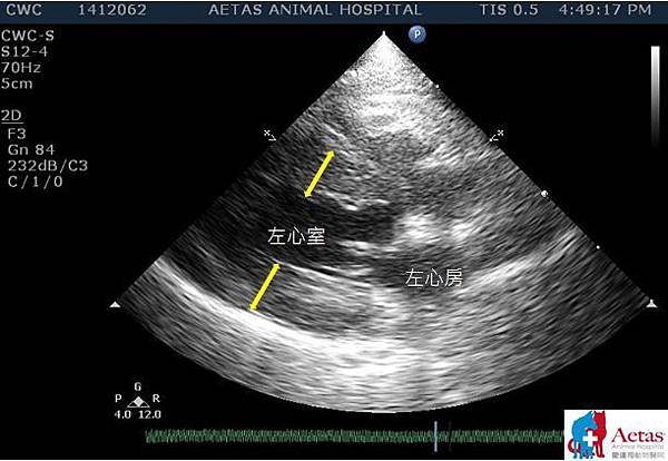
此圖為肥厚性心肌病的貓咪,圖中白色字體標示出左心室跟左心房的位置。兩個黃色雙箭頭的長度則代表了心室壁肌肉的厚度,可以見到其心肌有明顯增厚的傾向,會導致心室舒張期的功能異常。
檢查項目
- 血液檢查:包括紅白血球、肝腎指數、離子濃度、甲狀腺功能,另外在狗會檢驗犬四合一篩檢套組,除了了解是否有血液寄生蟲感染外,最重要的是確認是否有心絲蟲的感染。
- X光檢查:以胸腔及腹腔的X光為主,胸腔X光可以確認心臟大小及型態,周圍血管是否有異常;肺臟的實質有無異常影像,氣管有無出現塌陷、擴張或是發炎的影像。腹腔X光可以確認腹腔內臟器的大小及型態有無異常。
- 心臟檢查:心臟檢查以心電圖及心臟超音波為主。心電圖可以觀察是否出現心律不整或是傳導異常,心臟超音波則是可以直接看出心臟的型態、內部各腔室的大小及結構有無異常、血流的流速等。
究竟什麼時候該做檢查呢?
當您的愛犬愛貓出現以下症狀的時候:
- 咳嗽,特別在夜晚或是清晨
- 呼吸困難
- 運動不耐
- 嗜睡、虛弱
- 突發性的昏厥
- 食慾減退
- 體重莫名增重或是減輕
此時,就必須帶牠們到動物醫院,經過醫師評估確認是否需要進行心臟的檢查!
另外,如果您的愛犬是:
- 中老年犬隻
- 小型犬隻,包括瑪爾濟斯、貴賓、吉娃娃等
- 出現上述臨床症狀時
愛貓是:
- 緬因貓、布偶貓、美國短毛貓、英國短毛貓及摺耳貓等品種
- 出現上述臨床症狀時
就必須要小心,他們會是心臟疾病好發的族群!
飼主們不需過度擔心,在症狀尚未發生時,可以向你們的獸醫師諮詢,評估是否要定期進行檢查及追蹤;而當症狀發生時,也應立即就醫,即便可能不是心臟問題,也需要多加小心!